放射专家带您了解抗疫神器——肺部CT

中南大学湘雅医院放射科 廖伟华

自新型冠状病毒肺炎疫情爆发以来,CT检查在疾病诊断中就发挥了重要的作用。在众多影像学家的呼吁下,25日国家卫生健康委员会办公厅和国家中医药管理局办公室联合印发《新型冠状病毒感染的肺炎诊疗方案(试行第五版)》中,湖北省外肺炎影像学特征仍然是主要诊断依据之一,湖北省内具有肺炎影像学特征的疑似患者诊断临床诊断病例收治,将肺部CT检查提升到了更重要的地位。

据了解,不少患者对CT检查还存在一些疑惑,有着各种担忧。作为湖南省新型冠状病毒肺炎省级医疗救治高级专家组的影像学专家,中南大学湘雅医院放射科主任廖伟华教授深入抗疫一线,收集了患者较为关心的若干问题为民众进行一一答疑。

 

问:肺部CT真有那么神奇吗?照个X光片不是更经济?   

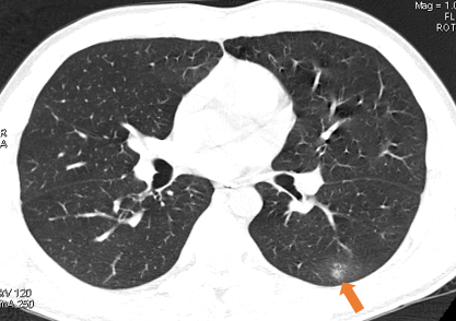
新型冠状病毒肺炎早期就可以在肺部CT上表现出较为特征性肺部改变,对该类病人的检出很有帮助而且CT扫描是一种无创的快速检查手段,被检者躺上检查床憋气十秒左右就可以完成检查。所周知,确诊新型冠状病毒肺炎需要荧光 RT-PCR 试剂盒进行核酸检测,然而标本采集相对复杂、工作人员感染暴露风险高,标本送检和检测过程都耗时耗力,尚存在一定的假阴性。另外,在新型冠状病毒肺炎的治疗过程中,肺部CT可以评估病变的范围、程度,观察病灶的变化过程,为疗效的评价和治愈出院提供客观的依据。所以说,新型冠状病毒肺炎患者要接受至少2次或2次以上的肺部CT检查。当然,胸部X光照片更便利、费用更低,但由于新型冠状病毒肺炎早期或轻症只是肺部的影像密度轻微增加,X光照片很难反映出来而可能导致漏诊,而CT检查的密度分辨率比X线照片高出约20倍,所以使之成为了不可替代的重要检查手段。

 

早期新型冠状病毒肺炎在CT图像显示为密度稍高的磨玻璃斑片病灶(箭所示)

 

问:CT检查不是辐射剂量很高,还会致癌吗?

大家大不必太担心。其实,辐射是无处不在的。即使我们不接受X线和CT检查,人类也无时不刻在接受着各种天然射线的照射,如宇宙射线和自然界中放射性物质发出的射线,我们称之为天然本底辐射。随着技术的进步,现在的肺部CT辐射剂量都比较低,一次检查仅相当于6个月左右的天然本地辐射。并且我们受到了电离辐射,只是诱发癌症的风险增加,并不是说就一定会致癌。相较于正在流行的新型冠状病毒所致危害,对发热门诊就诊患者进行一次CT检查那肯定是获益要大得多了。

 

X线照片和CT检查的电离辐射危害宣传画

问:疑似病人都去做CT检查,会不会发生交叉感染呢? 检查时要注意些什么?

这些大家多虑了。按照传染疾病防控的要求,CT室会每日规范常规消毒每完成一位患者检查,更换一次性床单、酒精擦拭检查床而且,扫描过程结束后,操作技术人员发现影像异常,会立即联系诊断医师确认为疑似影像改变操作人员会停止扫描,前面消毒的基础上对整个扫描间进行消毒,包括含氯消毒液喷洒地面以及空气消毒机消毒30分钟等有力措施来消灭病毒。

在检查过程中,受检者人人戴有口罩,我们还会提醒侯检人群增加排队间距,与操作技术人员之间减少接触。检查完成稍作等候即可去诊室找医生在网络系统中查看图像和结果,不需要打印胶片和纸质报告

以上这些措施均会帮助我们阻断交叉感染。

 

工作人员在疑似病人检查后进行地面消毒

 

 

专家介绍:

 

廖伟华教授,中南大学湘雅医院放射科主任。湖南省医学会放射学专业委员会候任主任委员及MRI学组组长、中华医学会放射学分会神经学组副组长、中国医师协会放射医师分会全国委员、中国医学装备协会磁共振应用专委会常务委员,湖南省神经科学学会神经影像专业委员会主任委员、湖南省医学影像科技与教育专业委员会第二届候任主任委员、湖南省放射诊断质量控制中心副主任、中南大学分子影像研究中心临床应用研究室主任。国家自然科学基金委同行评议专家。

主持“国家自然科学基金”2项、 “教育部科研专项经费前沿科学研究重大项目”、“湖南省创新平台与人才计划项目”等多项课题。在《Nature Communications》、《BIOMATERIALS》等国际杂志发表SCI论文40余篇,最高影响因子12.353。参与出版专著2部。获湖南省科技进步二等奖1项,湖南省医学科技二等奖2项,中南大学医疗新技术项目成果二等奖2项,中南大学教学质量优胜奖1项,入选中南大学“531”人才工程。